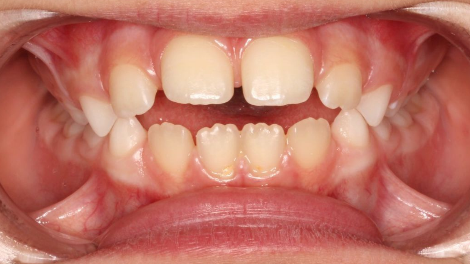
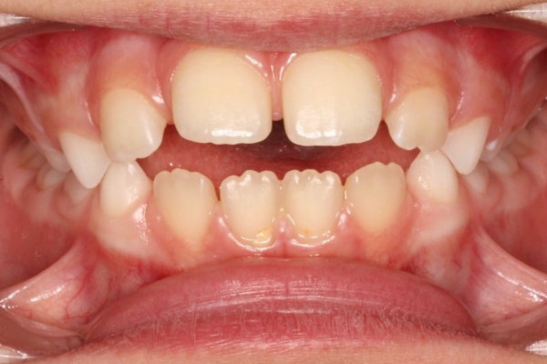
Observar y Actuar en el momento preciso permite intervenir en las etapas tempranas del crecimiento, lo que puede simplificar o incluso evitar tratamientos ortodóncicos complejos en el futuro.
Dra. María Enezari
La Supervisión del Crecimiento de nuestros hijos es fundamental para garantizar un desarrollo bucal adecuado.
Con una atención cuidadosa en las fases clave del desarrollo, podemos asegurar una Salud bucal óptima y Resultados duraderos para nuestros hijos.
¡Guiamos el crecimiento facial de tu hijo!
Sano Desarrollo correcto prevención desde pequeño!
Estudios Personalizados
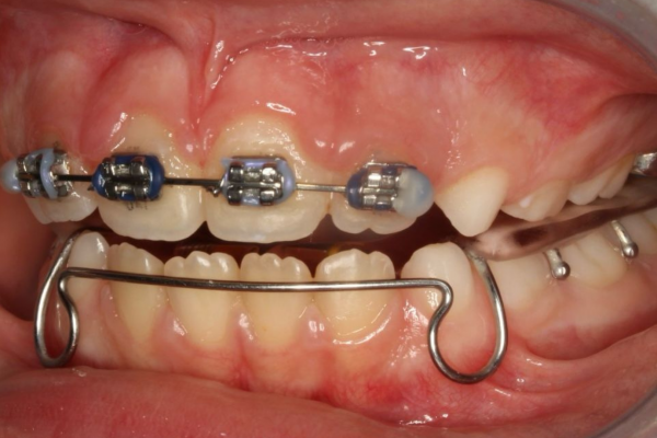
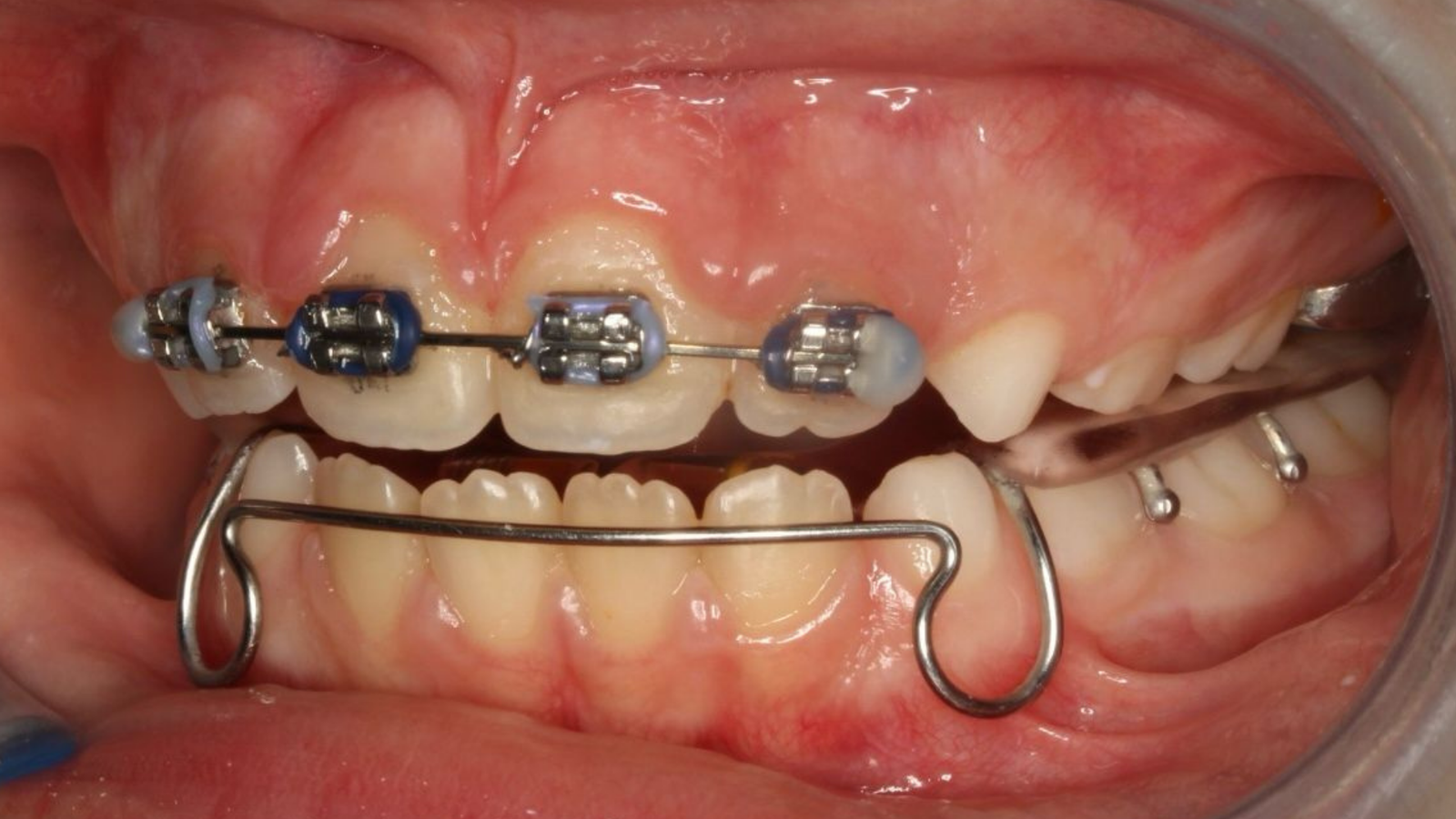
Cada paciente y cada tratamiento es único. El profundo conocimiento de la anatomía y de nuestros pacientes junto con la tecnología más avanzada nos permite realizar diagnósticos certeros. Localizando el origen del problema muchas veces incluso antes de que se produzca evitando así su aparición.
"Guiando el crecimiento facial de tu hijo"
con ortopedia y ortodoncia, paso a paso.





