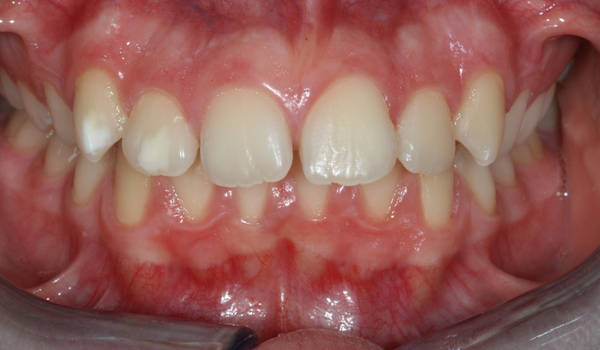
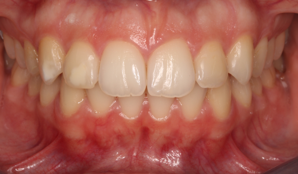
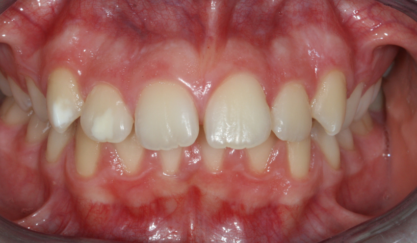
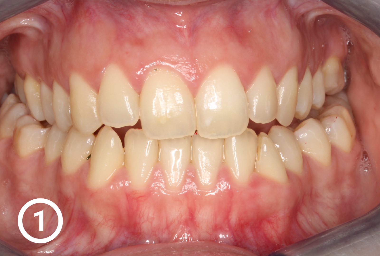
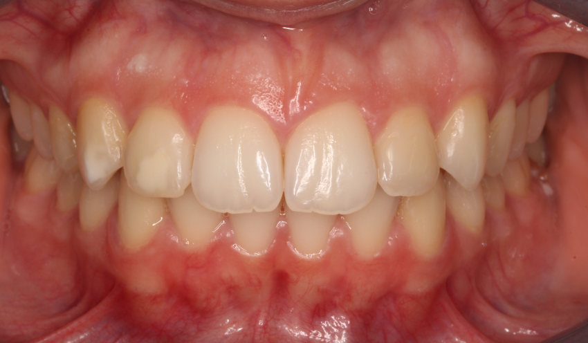
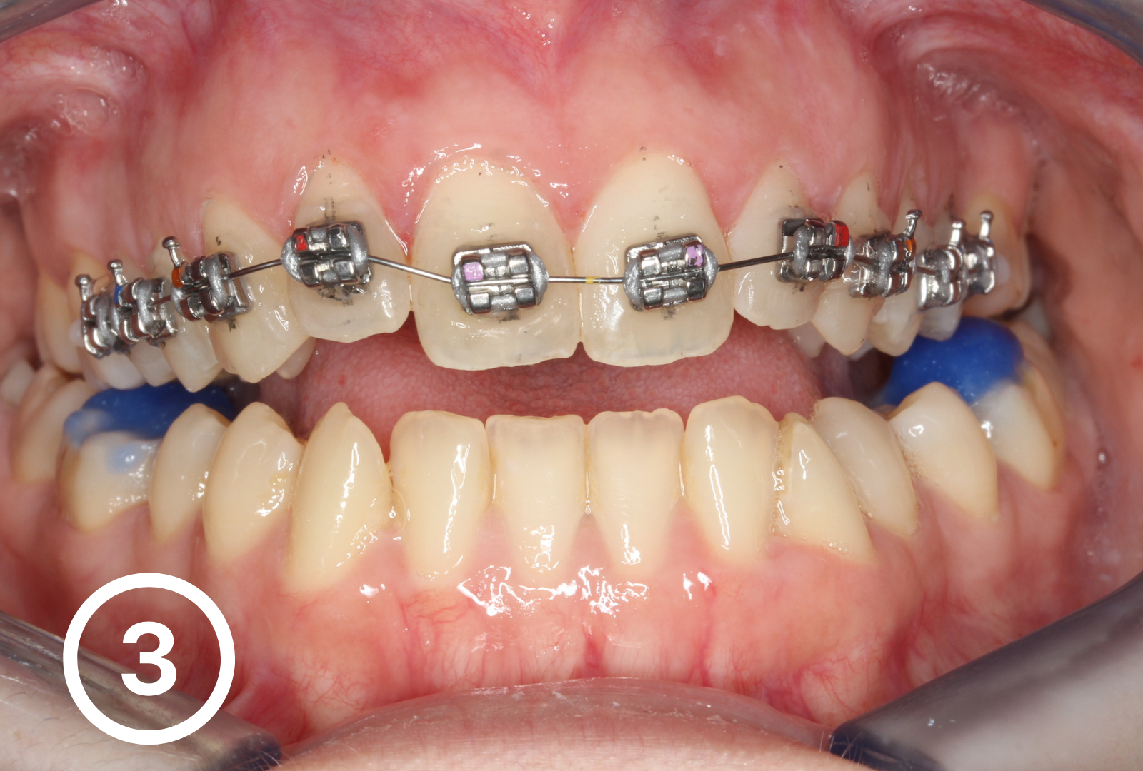
¿Te imaginas tener una sonrisa perfecta? ¡En nuestra clínica dental podemos ayudarte a lograrla! Ofrecemos diferentes opciones de ortodoncia, desde brackets metálicos hasta alineadores transparentes, para que puedas elegir la que mejor se adapte a tu estilo de vida y necesidades.
Pero la ortodoncia no solo se trata de tener dientes más rectos y bonitos, también es importante para tu salud oral en general. Una mordida incorrecta, una mandíbula desalineada y la sobre oclusión pueden causar problemas en la articulación temporomandibular (ATM) y otros problemas de salud dental. ¡Corregir estos problemas puede ayudarte a evitar dolores de cabeza, molestias en la mandíbula y problemas de masticación!





