Dr. Santiago Ferris

Implantes Dentales

Los implantes dentales son una excelente opción que pueden ayudarte a recuperar tu sonrisa y funcionalidad dental. En nuestras clínicas, contamos con el Dr. Santiago Ferris, un especialista en cirugía oral con más de 18 años de experiencia y una formación internacional en las últimas técnicas y tecnologías en implantología dental. El Dr. Ferris te ofrecerá soluciones personalizadas y avanzadas para tus necesidades individuales.

3 elementos claves - Resultados Duraderos

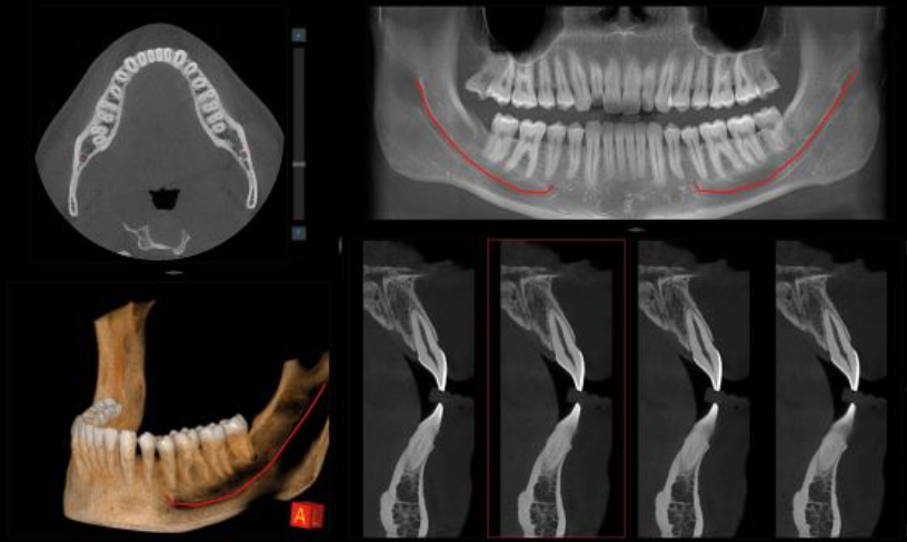
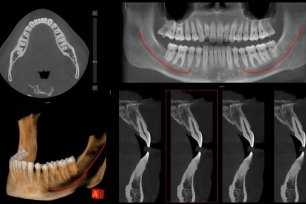
CBCT Cráneo Completo

Newton Giano

Sistema CBCT Newton Giano, líder en el sector de la radiología dental. Esta tecnología de  nos permite realizar diagnósticos detallados y precisos gracias a su capacidad para obtener imágenes tridimensionales de alta calidad del cráneo completo. Esto es fundamental no solo para la planificación y ejecución de tratamientos de implantología dental, sino también para la evaluación integral de la salud oral y general de nuestros pacientes.

Ubicación precisa del implante

Colocar implantes completamente rodeados de hueso asegura su durabilidad y estabilidad

Evaluación de la articulación y la mordida

Evaluar la articulación temporomandibular es esencial para garantizar la funcionalidad adecuada y evitar problemas.

Diagnóstico Vía aérea y otras patologías

El diagnóstico de la vía aérea y estructuras relacionadas es crucial para mejorar la calidad de vida.

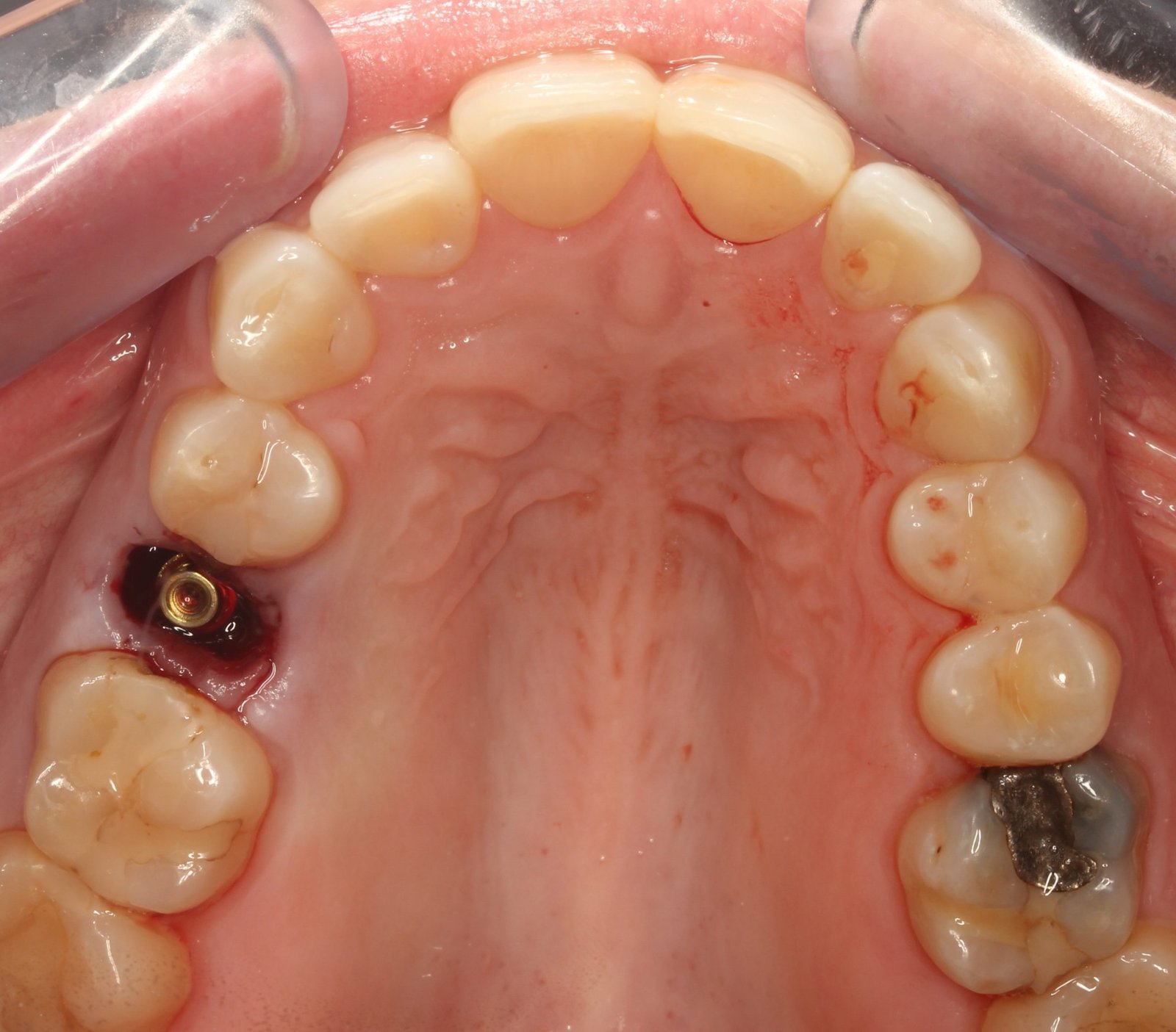
Cirugía Guiada por Ordenador

En nuestra clínica, ofrecemos cirugía guiada utilizando software 3D exacto, una técnica innovadora que nos permite planificar con precisión la colocación de los implantes y asegurar su correcta integración en el hueso maxilar o mandibular. De esta manera, podemos garantizar una colocación precisa, sin errores y con un mínimo de molestias para el paciente.

Según un estudio publicado en el Journal of Dental Research, la tasa de éxito de los implantes dentales a los 10 años es del 90-95%. Este estudio se realizó con una muestra de más de 2.600 implantes en 132 pacientes y se llevó a cabo en múltiples clínicas dentales en Europa. Además, el estudio encontró que la tasa de éxito de los implantes aumenta a medida que el tiempo de seguimiento se extiende, lo que sugiere que los implantes pueden durar mucho más que 10 años con un buen cuidado y mantenimiento adecuado.

Durante la cirugía, se utilizan guías quirúrgicas personalizadas basadas en esta planificación digital. Estas guías ayudan a posicionar el implante en el lugar exacto determinado en la planificación, asegurando que esté perfectamente alineado y rodeado de suficiente hueso, lo cual es crucial para su integración y estabilidad a largo plazo. Además, esta precisión garantiza que el implante esté en la posición óptima para recibir la prótesis dental, lo que mejora la funcionalidad y estética del resultado final.

2 décadas de experiencia

Impulsando Revolucionando Aplicando Disfrutando la Odontología Digital

«Tecnología, Ciencia y Pasión»

La combinación entre el estudio y la formación continuada, con el uso de la última tecnología, nos permite ofrecer a nuestros pacientes tratamientos predecibles en pocas citas y sin molestias.

Cada paso del proceso debe ser llevado a cabo con minuciosidad y precisión para lograr resultados estables a largo plazo

Dr. FerrisF&E Co-Founder
Transforma tu sonrisa el mismo día

"Atención Exclusiva"

Un Día, Un Paciente

En nuestros tratamientos de carga inmediata, dedicamos exclusivamente todo el día a un único paciente para asegurar una atención detallada y personalizada. Utilizamos pacientes virtuales para la planificación previa, lo que nos permite previsualizar y ajustar el resultado final antes de proceder. Al final del día, colocamos las prótesis provisionales. La sedación consciente, ofrecida como una opción adicional, complementa este proceso, facilitando una experiencia más confortable para el paciente. Esta aproximación meticulosa garantiza resultados efectivos y satisfactorios en el mismo día del tratamiento.